# INICIO PROMOCIONES FARMATIENDA EJERCICIOS
INICIO / FRACTURAS / Tratamiento de Fracturas

Tratamiento de Fracturas


¿EN QUÉ CONSISTE EL TRATAMIENTO DE FRACTURAS?:

El tratamiento de las fracturas consiste en cuatro principios básicos:

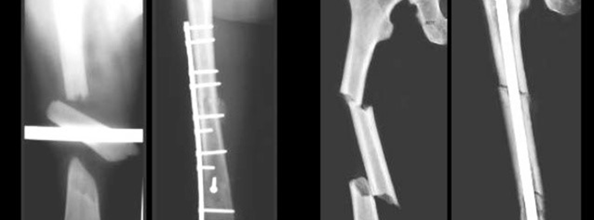
AVANCES:

En el tratamiento de fracturas, las técnicas quirúrgicas y anestésicas cada vez más novedosas permiten una mejor recuperación. Modernos equipos de imágenes intraoperatorias, nuevos materiales quirúrgicos y procedimientos complementarios permiten mejores resultados con una mínima cicatriz.

¿DESEAS IR A UNA CITA DE EVALUACIÓN?

Click para reservar:

 Por Facebook  Por WhatsApp